حاله  الطقس  اليةم 25.4
مرتفعات وودلاند,الولايات المتحدة الأمريكية

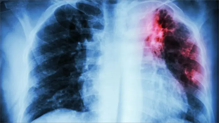
الالتهاب الرئوي: دليلك الكامل لفهم المرض والتعامل معه

بوابة السعودية
أعجبني
(0)
مشاهدة لاحقا
شارك
الالتهاب الرئوي: دليلك الكامل لفهم المرض والتعامل معه

كل ما تود معرفته عن الالتهاب الرئوي: الأسباب، الأعراض، والعلاج

الالتهاب الرئوي هو مرض شائع يصيب الرئة، وينتج عن عدوى فيروسية، أو جرثومية، أو فطرية. يتسبب هذا الالتهاب في معاناة المريض من الألم، والإرهاق، وصعوبة التنفس، مما يستدعي توفير رعاية فائقة واهتمام مضاعف لتجنب أي تدهور محتمل في الحالة الصحية.

في هذا المقال، سنتناول الالتهاب الرئوي بتفصيل، بدءًا من تعريفه، مرورًا بأعراضه وأسبابه المختلفة، وصولًا إلى طرق العلاج المتاحة. كما سنتطرق إلى أهمية اليوم العالمي للتوعية بالالتهاب الرئوي.

ما هو الالتهاب الرئوي؟

الالتهاب الرئوي هو عدوى تصيب الأكياس الهوائية في الرئتين، مما يؤدي إلى التهابها وتراكم السوائل بداخلها. يعتبر هذا المرض شائعًا، خاصة بين الأطفال، وكبار السن، والأشخاص الذين يعانون من ضعف في جهاز المناعة.

أعراض الالتهاب الرئوي

تشمل الأعراض الرئيسية للالتهاب الرئوي ما يلي:

1. السعال

عادة ما يكون السعال مصحوبًا ببلغم قد يكون لونه أخضر، أو أصفر، أو مختلطًا بالدم.

2. الحمى

تتراوح شدة الحمى بين الخفيفة والشديدة.

3. صعوبة في التنفس

يشعر المريض بضيق في التنفس أو ألم في الصدر عند التنفس.

4. التعب والإرهاق

يشعر المريض بالتعب والإرهاق العام.

5. القشعريرة

يشعر المريض بالبرد والارتعاش.

6. فقدان الشهية

يفقد المريض شهيته للطعام.

7. آلام العضلات

يشعر المريض بألم في العضلات.

قد يعاني بعض المرضى أيضًا من أعراض أخرى، مثل:

  • الصداع.
  • التعرق.
  • آلام المفاصل.
  • الارتباك.
  • الزرقة (لون مزرق في الجلد أو الشفاه).

من المهم ملاحظة أن بعض الأشخاص، خاصة كبار السن والأطفال الصغار، قد لا يعانون من جميع هذه الأعراض.

أنواع الالتهاب الرئوي

يُصنف الالتهاب الرئوي حسب العامل المسبب له إلى ثلاثة أنواع رئيسية:

1. الالتهاب الرئوي الجرثومي

  • يسببه نوع من البكتيريا.
  • يعتبر أكثر أنواع الالتهاب الرئوي شيوعًا.
  • ينتقل عن طريق السعال أو العطس.

الأعراض

تشمل السعال المصحوب بالبلغم، والحمى، وصعوبة التنفس، والتعب، وآلام العضلات.

العلاج

يعالج عادةً بالمضادات الحيوية.

2. الالتهاب الرئوي الفيروسي

  • يسببه فيروس، مثل فيروس الإنفلونزا أو الفيروس المخلوي التنفسي (RSV).
  • يعتبر النوع الأكثر شيوعًا بين الأطفال.
  • ينتقل عن طريق السعال، العطس، أو الاتصال المباشر بسوائل الجسم.

الأعراض

تشمل السعال، الحمى، سيلان الأنف، التهاب الحلق، والتعب.

العلاج

لا توجد مضادات حيوية لعلاج الالتهاب الرئوي الفيروسي، ولكن بعض الأدوية تساعد في تخفيف الأعراض.

3. الالتهاب الرئوي الفطري

  • يسببه فطر.
  • يعتبر أقل أنواع الالتهاب الرئوي شيوعًا.
  • يصيب عادةً الأشخاص الذين يعانون من ضعف في جهاز المناعة.
  • ينتقل عن طريق استنشاق جراثيم الفطريات.

الأعراض

تشمل السعال، الحمى، صعوبة التنفس، التعب، وفقدان الوزن.

العلاج

يعالج بالأدوية المضادة للفطريات.

توجد أنواع أخرى أقل شيوعًا من الالتهاب الرئوي، مثل الالتهاب الرئوي الكيميائي الذي يسببه استنشاق المواد الكيميائية أو الأبخرة الضارة.

أسباب الالتهاب الرئوي

يُصنف الالتهاب الرئوي حسب نوع العامل المسبب له إلى ثلاثة أنواع رئيسية:

الالتهاب الرئوي الجرثومي يحدث بسبب:

1. المكورات الرئوية

هي أكثر أنواع البكتيريا شيوعًا التي تسبب الالتهاب الرئوي.

2. المستدمية النزلية

هي نوع من البكتيريا التي تسبب الالتهاب الرئوي، خاصةً عند الأطفال.

3. الليجيونيلا

نوع من البكتيريا التي توجد في الماء، وتنتقل إلى الرئتين من خلال استنشاق رذاذ الماء الملوث.

الالتهاب الرئوي الفيروسي يحدث بسبب:

1. فيروس الجهاز التنفسي المخلوي (RSV)

هو فيروس شائع يصيب الأطفال الصغار.

2. فيروسات أخرى

مثل الفيروسات الغدية والفيروسات المعوية.

3. فيروس الإنفلونزا

هو الفيروس الأكثر شيوعًا الذي يسبب الالتهاب الرئوي الفيروسي.

الالتهاب الرئوي الفطري يحدث بسبب:

1. الفطر الرئوي

هو الفطر الأكثر شيوعًا الذي يسبب الالتهاب الرئوي الفطري.

2. الفطر الزعاف

نوع من الفطريات التي تسبب الالتهاب الرئوي، خاصةً عند الأشخاص الذين يعانون من ضعف في جهاز المناعة.

3. الفطريات الأخرى

مثل فطر المستشفيات وفطر المستعمرات.

تشخيص الالتهاب الرئوي

يعتمد تشخيص الالتهاب الرئوي على مجموعة من العوامل، ومن ذلك:

الأعراض

سيسألك الطبيب عن الأعراض التي تعاني منها، مثل السعال، الحمى، صعوبة التنفس، التعب، وآلام العضلات.

الفحص الطبي

سيفحص الطبيب صدرك باستخدام سماعة الطبيب لتفقد الأصوات التي تصدر عن رئتيك، وقد يستمع إلى صوت طقطقة أو صوت احتكاك في رئتيك.

الاختبارات

1. الأشعة السينية على الصدر

هي اختبار شائع يُستخدم لتشخيص الالتهاب الرئوي.

2. التصوير المقطعي المحوسب (CT)

قد يُستخدم التصوير المقطعي المحوسب لتقديم صورة أكثر تفصيلاً للرئتين.

3. اختبارات الدم

قد تُستخدم اختبارات الدم للتحقق من وجود عدوى بكتيرية أو فيروسية.

4. اختبارات البلغم

قد يتم فحص عينة من البلغم الخاص بك للبحث عن بكتيريا أو فيروسات.

في بعض الحالات، قد يحتاج الطبيب إلى إجراء اختبارات أخرى، مثل اختبارات وظائف الرئة أو تنظير القصبات الهوائية.

طرق علاج الالتهاب الرئوي

يعتمد علاج الالتهاب الرئوي على نوع العدوى المسببة له، ومن ذلك:

1. الالتهاب الرئوي الجرثومي

  • يُعالج عادةً بالمضادات الحيوية.
  • يجب تناول المضادات الحيوية حسب تعليمات الطبيب، حتى لو تحسنت الأعراض.
  • من الهام إكمال دورة المضادات الحيوية حتى لو اختفت الأعراض.
  • قد يصف الطبيب أيضًا أدوية أخرى لتخفيف الأعراض، مثل مسكنات الألم وخافضات الحرارة.

2. الالتهاب الرئوي الفيروسي

  • لا توجد مضادات حيوية لعلاج الالتهاب الرئوي الفيروسي.
  • يهدف العلاج إلى تخفيف الأعراض.
  • قد يصف الطبيب أدوية لتخفيف الألم والحمى والسعال.
  • من الهام الحصول على قسط كاف من الراحة وشرب كثير من السوائل.

3. الالتهاب الرئوي الفطري

  • يُعالج بالأدوية المضادة للفطريات.
  • يتم تناول الأدوية المضادة للفطريات عن طريق الفم أو الوريد.
  • قد يستغرق العلاج عدة أسابيع أو أشهر.
  • من الهام اتباع تعليمات الطبيب بدقة.

في بعض الحالات، قد يحتاج الأشخاص الذين يعانون من الالتهاب الرئوي إلى تلقي العلاج في المستشفى.

لقاحات الالتهاب الرئوي

يوجد نوعان رئيسيان من لقاحات الالتهاب الرئوي:

1. لقاح المكورات الرئوية المقترن (PCV13)

  • يحمي هذا اللقاح من 13 نوعًا من البكتيريا العقدية الرئوية، وهي السبب الأكثر شيوعًا للالتهاب الرئوي الجرثومي عند الأطفال.
  • يوصى به للأطفال الصغار، من عمر 6 أسابيع حتى 5 سنوات.
  • قد يُعطى أيضًا للبالغين الذين يعانون من ضعف في جهاز المناعة أو الذين يعيشون مع أشخاص معرضين لخطر الإصابة بالعدوى.
  • يتكون لقاح PCV13 من 4 جرعات تُعطى في جدول زمني محدد.

2. لقاح المكورات الرئوية المتعدد السكريات (PPSV23)

  • يحمي هذا اللقاح من 23 نوعًا من البكتيريا العقدية الرئوية.
  • يوصى به للبالغين الذين تزيد أعمارهم عن 65 عامًا، وكذلك للبالغين الذين يعانون من أمراض مزمنة، مثل أمراض الرئة أو أمراض القلب أو السكري.
  • يتكون لقاح PPSV23 من جرعة واحدة.

الوقاية من الالتهاب الرئوي

يُمكن اتباع عدة خطوات للوقاية من الالتهاب الرئوي، منها:

1. الحصول على التطعيمات

  • الحصول على لقاح المكورات الرئوية المقترن (PCV13) للأطفال الذين تتراوح أعمارهم بين 6 أسابيع و5 سنوات.
  • الحصول على لقاح المكورات الرئوية المتعدد السكريات (PPSV23) للبالغين الذين تزيد أعمارهم عن 65 عامًا، وكذلك للبالغين الذين يعانون من أمراض مزمنة.

2. غسل اليدين

  • غسل اليدين بشكل متكرر بالماء والصابون، خاصة بعد ملامسة الأشخاص المرضى أو بعد السعال أو العطس.
  • استخدام معقم اليدين الذي يحتوي على الكحول إذا لم يكن متاحًا الصابون والماء.

3. تجنب الاتصال بالمرضى

  • تجنب الاتصال الوثيق بالأشخاص المصابين بالعدوى.
  • إذا كنت مريضًا، ابق في المنزل وتجنب الاتصال بالآخرين.

4. الإقلاع عن التدخين

  • التدخين يزيد من خطر الإصابة بالالتهاب الرئوي.
  • الإقلاع عن التدخين أفضل طريقة لتقليل خطر الإصابة بالعدوى.

5. اتباع نظام غذائي صحي

  • اتبع نظامًا غذائيًا غنيًا بالفواكه والخضروات والحبوب الكاملة.
  • تناول كمية كافية من البروتين.
  • اشرب كثيرًا من السوائل، مثل الماء والعصير والشوربة.

6. الحصول على قسط كافٍ من الراحة

  • الحصول على 7-8 ساعات من النوم كل ليلة.
  • الراحة عندما تكون مريضًا.

7. الحفاظ على نظافة المنزل

  • تنظيف الأسطح بشكل متكرر بالماء والصابون أو المطهر.
  • غسل الملابس والفراش بانتظام.

8. تغطية الفم والأنف عند السعال أو العطس

  • استخدم منديلاً أو مرفقك الداخلي لتغطية فمك وأنفك عند السعال أو العطس.
  • تخلص من المناديل المستخدمة على الفور.

9. مراجعة الطبيب بانتظام

  • إجراء الفحوصات الطبية بانتظام.
  • اتباع نصائح الطبيب للحفاظ على صحتك.

إضافة إلى هذه الخطوات، من الهام أيضًا أن تكون على دراية بأعراض الالتهاب الرئوي.

اليوم العالمي للالتهاب الرئوي

يُحتفل باليوم العالمي للالتهاب الرئوي سنويًا في 12 نوفمبر لزيادة الوعي بخطورة هذا المرض وأهمية الوقاية منه وعلاجه.

في عام 2023، كان شعار اليوم العالمي للالتهاب الرئوي هو “التحرك ضد الالتهاب الرئوي: تنفس صحي لجميع الناس”، ويهدف هذا الشعار إلى التأكيد على ضرورة العمل معًا لمنع الالتهاب الرئوي، خاصةً بين الأطفال.

يهدف اليوم العالمي للالتهاب الرئوي للتوعية بهذا المرض، إذ ما يزال الالتهاب الرئوي مشكلة صحية عامة كبيرة، تودي بحياة أكثر من 2 مليون شخص كل عام، معظمهم من الأطفال.

و أخيرا وليس آخرا

الالتهاب الرئوي هو عدوى تصيب الرئتين وتسببها الجراثيم أو الفيروسات أو الفطريات، وهو مرض شائع وخطر، خاصةً للفئات الأكثر ضعفاً كالأطفال وكبار السن. من خلال هذا المقال، استعرضت بوابة السعودية أعراض وأسباب هذا المرض، بالإضافة إلى طرق التشخيص والوقاية المتاحة. يبقى السؤال: كيف يمكننا تعزيز الوعي المجتمعي بشكل أكبر لتقليل انتشار هذا المرض وضمان صحة أفضل للجميع؟

الاسئلة الشائعة

01

ما هو الالتهاب الرئوي؟

الالتهاب الرئوي هو عدوى تصيب الأكياس الهوائية في الرئتين، مما يسبب التهابها وامتلائها بالسوائل. يعتبر الالتهاب الرئوي من الأمراض الشائعة، خاصةً بين الأطفال وكبار السن والأشخاص الذين يعانون من ضعف في جهاز المناعة.
02

أعراض الالتهاب الرئوي

تشمل أعراض الالتهاب الرئوي الرئيسة ما يأتي:
03

1. السعال

عادةً ما يكون السعال مصحوباً بالبلغم، الذي قد يكون بلون أخضر أو أصفر أو مخلوطاً بالدم.
04

2. الحمى

قد تكون الحمى خفيفة أو شديدة.
05

3. صعوبة في التنفس

قد يشعر الشخص بضيق في التنفس أو ألم في الصدر عند التنفس.
06

4. التعب

قد يشعر الشخص بالتعب والإرهاق.
07

5. قشعريرة

قد يشعر الشخص بالبرد والارتعاش.
08

6. فقدان الشهية

قد يفقد الشخص شهيته للطعام.
09

7. آلام العضلات

قد يشعر الشخص بألم في العضلات. قد يعاني بعض الأشخاص أيضاً من أعراض أخرى، مثل: من الهام ملاحظة أنَّ بعض الأشخاص، خاصةً كبار السن والأطفال الصغار، قد لا يعانون من جميع هذه الأعراض.
10

أنواع الالتهاب الرئوي

يُصنف الالتهاب الرئوي حسب نوع العامل المسبب له إلى ثلاثة أنواع رئيسة:
11

الأعراض

تشمل عادةً السعال مع البلغم، والحمى، وصعوبة في التنفس، والتعب، وآلام العضلات.
12

العلاج

يُعالج عادةً بالمضادات الحيوية.
13

الأعراض

تشمل عادةً السعال، والحمى، وسيلان الأنف، والتهاب الحلق، والتعب.
14

العلاج

لا توجد مضادات حيوية لعلاج الالتهاب الرئوي الفيروسي، ولكن تساعد بعض الأدوية على تخفيف الأعراض.
15

الأعراض

تشمل عادةً السعال، والحمى، وصعوبة في التنفس، والتعب، وفقدان الوزن.
16

العلاج

يُعالج بالأدوية المضادة للفطريات. توجد أنواع أخرى أقل شيوعاً من الالتهاب الرئوي، مثل الالتهاب الرئوي الكيميائي، الذي يُسببُه استنشاق المواد الكيميائية أو الأبخرة الضارة.
17

أسباب الالتهاب الرئوي

يُصنف الالتهاب الرئوي حسب نوع العامل المسبب له إلى ثلاثة أنواع رئيسة:
18

1. المكورات الرئوية

هي أكثر أنواع البكتيريا شيوعاً التي تُسبب الالتهاب الرئوي.
19

2. المستدمية النزلية

هي نوع من البكتيريا التي تُسبب الالتهاب الرئوي، خاصةً عند الأطفال.
20

3. الليجيونيلا

نوع من البكتيريا التي توجد في الماء، وتنتقل إلى الرئتين من خلال استنشاق رذاذ الماء الملوث.
21

1. الفيروس المخلوي التنفسي (RSV)

هو فيروس شائع يُصيب الأطفال الصغار.
22

2. فيروسات أخرى

مثل الفيروسات الغدية والفيروسات المعوية.
23

3. فيروس الإنفلونزا

هو الفيروس الأكثر شيوعاً الذي يُسبب الالتهاب الرئوي الفيروسي.
24

1. الفطر الرئوي

هو الفطر الأكثر شيوعاً الذي يُسبب الالتهاب الرئوي الفطري.
25

2. الفطر الرشاشي

نوع من الفطريات التي تُسبب الالتهاب الرئوي، خاصةً عند الأشخاص الذين يعانون من ضعف في جهاز المناعة.
26

3. الفطريات الأخرى

مثل فطر المستشفيات وفطر المستعمرات.
27

تشخيص الالتهاب الرئوي

يعتمد تشخيص الالتهاب الرئوي على مجموعة من العوامل، ومن ذلك:
28

الأعراض

سيسألك الطبيب عن أعراضك، مثل السعال، والحمى، وصعوبة التنفس، والتعب، وآلام العضلات.
29

الفحص الطبي

سيفحص الطبيب صدرك باستخدام سماعة الطبيب لتفقد الأصوات التي تصدر عن رئتيك، وقد يستمع إلى صوت طقطقة أو صوت احتكاك في رئتيك.
30

1. الأشعة السينية على الصدر

هي اختبار شائع يُستخدم لتشخيص الالتهاب الرئوي.
31

2. التصوير المقطعي المحوسب (CT)

قد يُستخدم التصوير المقطعي المحوسب لتقديم صورة أكثر تفصيلاً للرئتين.
32

3. اختبارات الدم

قد تُستخدم اختبارات الدم للتحقق من وجود عدوى بكتيرية أو فيروسية.
33

4. اختبارات البلغم

قد يتم فحص عينة من البلغم الخاص بك للبحث عن بكتيريا أو فيروسات. في بعض الحالات، قد يحتاج الطبيب إلى إجراء اختبارات أخرى، مثل اختبارات وظائف الرئة أو تنظير القصبات الهوائية.
34

طرق علاج الالتهاب الرئوي

يعتمد علاج الالتهاب الرئوي على نوع العدوى المسببة له، ومن ذلك:
35

3. الالتهاب الرئوي الفطري

في بعض الحالات، قد يحتاج الأشخاص الذين يعانون من الالتهاب الرئوي إلى تلقي العلاج في المستشفى.
36

لقاحات الالتهاب الرئوي

يوجد نوعان رئيسان من لقاحات الالتهاب الرئوي:
37

الوقاية من الالتهاب الرئوي

يُمكن اتباع عدة خطوات للوقاية من الالتهاب الرئوي، منها:
38

9. مراجعة الطبيب بانتظام

إضافة إلى هذه الخطوات، من الهام أيضاً أن تكون على دراية بأعراض الالتهاب الرئوي.
39

اليوم العالمي للالتهاب الرئوي

يُحتفل باليوم العالمي للالتهاب الرئوي سنوياً في 12 نوفمبر لزيادة الوعي بخطورة هذا المرض وأهمية الوقاية منه وعلاجه. في عام 2023، كان شعار اليوم العالمي للالتهاب الرئوي هو "التحرك ضد الالتهاب الرئوي: تنفس صحي لجميع الناس"، ويهدف هذا الشعار إلى التأكيد على ضرورة العمل معاً لمنع الالتهاب الرئوي، خاصةً بين الأطفال. يهدف اليوم العالمي للالتهاب الرئوي للتوعية بهذا المرض، إذ ما يزال الالتهاب الرئوي مشكلة صحية عامة كبيرة، تُودي بحياة أكثر من 2 مليون شخص كل عام، معظمهم من الأطفال.
40

في الختام

إنَّ الالتهاب الرئوي هو عدوى تصيب الرئتين، وتسببها جراثيم أو فيروسات أو فطريات، وهو أحد أكثر الأمراض المعدية شيوعاً، ويكون خطيراً، خاصة للأطفال الصغار وكبار السن والأشخاص الذين يعانون من أمراض مزمنة. لقد حرصنا في هذا المقال على تسليط الضوء على أعراض الالتهاب الرئوي وأسبابه وطرق تشخيصه والوقاية منه، ونأمل أن يكون مقالنا مفيداً ومساعداً على التعرف إلى هذا المرض والوعي به والحد من انتشاره.
41

ما هي أهمية لقاح المكورات الرئوية للأطفال؟

لقاح المكورات الرئوية يحمي الأطفال من أنواع خطيرة من البكتيريا التي تسبب الالتهاب الرئوي، التهاب السحايا، وتسمم الدم. إنه جزء أساسي من جدول التطعيمات الروتيني لضمان صحة الأطفال وسلامتهم.
42

ما هي الفئات الأكثر عرضة للإصابة بالالتهاب الرئوي الفطري؟

الأشخاص الذين يعانون من ضعف في جهاز المناعة، مثل مرضى الإيدز، والذين يخضعون لعلاج كيميائي، أو الذين تناولوا أدوية مثبطة للمناعة لفترة طويلة، هم الأكثر عرضة للإصابة بالالتهاب الرئوي الفطري.
43

كيف يمكن التمييز بين أعراض الالتهاب الرئوي الفيروسي والجرثومي؟

الالتهاب الرئوي الفيروسي غالباً ما يبدأ بأعراض مشابهة للبرد، مثل سيلان الأنف والتهاب الحلق، بينما الالتهاب الرئوي الجرثومي عادة ما يظهر فجأة مع حمى عالية وسعال مصحوب ببلغم.
44

ما هي الإجراءات الوقائية الأخرى بجانب التطعيم لتقليل خطر الإصابة بالالتهاب الرئوي؟

بالإضافة إلى التطعيم، من المهم الحفاظ على نظافة اليدين، تجنب التدخين، اتباع نظام غذائي صحي، الحصول على قسط كاف من الراحة، وتجنب الاتصال الوثيق بالأشخاص المصابين بالعدوى.
45

ما هو دور التصوير المقطعي المحوسب في تشخيص الالتهاب الرئوي؟

يوفر التصوير المقطعي المحوسب صوراً تفصيلية للرئتين، مما يساعد الأطباء على تحديد مدى الإصابة بالالتهاب الرئوي، الكشف عن المضاعفات، واستبعاد الحالات الأخرى التي قد تسبب أعراضاً مماثلة.
46

ما هي المضادات الحيوية المستخدمة لعلاج الالتهاب الرئوي الجرثومي؟

تعتمد المضادات الحيوية المستخدمة على نوع البكتيريا المسببة للالتهاب الرئوي، ولكن تشمل الخيارات الشائعة البنسلين، الأموكسيسيلين، والأزيثروميسين.
47

ما هي العلاجات المنزلية التي يمكن أن تساعد في تخفيف أعراض الالتهاب الرئوي الفيروسي؟

تشمل العلاجات المنزلية الحصول على قسط كاف من الراحة، شرب الكثير من السوائل، استخدام مرطب الهواء، وتناول مسكنات الألم التي لا تستلزم وصفة طبية لخفض الحمى وتخفيف الألم.
48

كيف يؤثر التدخين على خطر الإصابة بالالتهاب الرئوي؟

التدخين يضعف الجهاز المناعي ويزيد من التهاب الرئة، مما يجعل المدخنين أكثر عرضة للإصابة بالالتهاب الرئوي ومضاعفاته.
49

ما هي المدة التي يستغرقها التعافي من الالتهاب الرئوي؟

تختلف مدة التعافي حسب نوع الالتهاب الرئوي وشدته، ولكن معظم الناس يتعافون في غضون أسبوعين إلى ثلاثة أسابيع مع العلاج المناسب.
50

ما هي النصائح التي يجب اتباعها بعد التعافي من الالتهاب الرئوي؟

بعد التعافي من الالتهاب الرئوي، من المهم الحصول على قسط كاف من الراحة، اتباع نظام غذائي صحي، تجنب التدخين، وممارسة التمارين الرياضية بانتظام لتقوية الرئتين واستعادة الصحة العامة.

عناوين المقال